脑癌,再可怕,也有我们守护着
发布时间:2017-10-19 09:48
本文来源: 开平市中心医院
分享到:
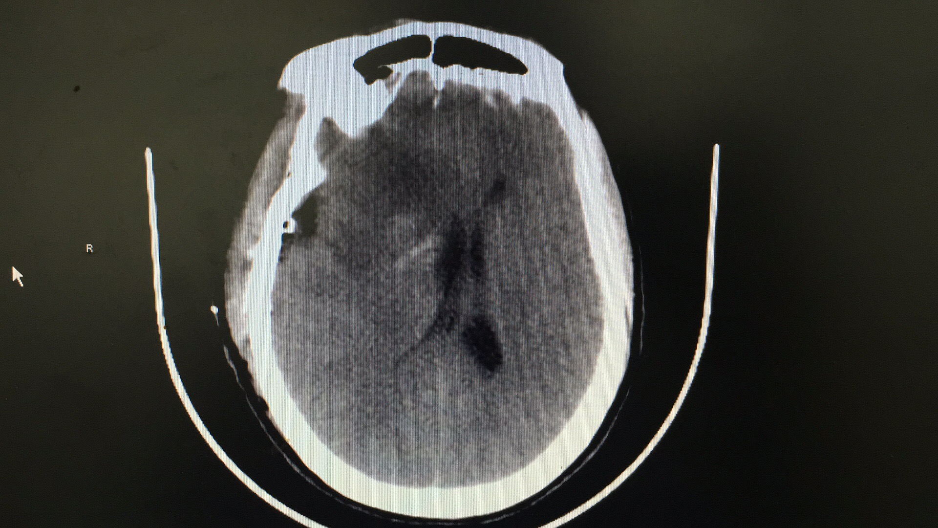
2017年10月16日,我院外四科(神经外科)对一名47岁女患者进行了脑部手术。该患者在入院一周前出现头晕、恶心及呕吐症状。经我院检查发现,其脑部患有恶性肿瘤,俗称脑癌,严重危及患者的生命健康。
由于肿瘤体积巨大,位置较深,因此手术难度大,风险高。但鉴于患者生命已到了垂危阶段,外四科立刻成立手术专家团队,进行严密部署,由外四科谭晓穗主任亲身指导,何竟斯医生主刀,谢志强医生与关跃聪医生参与协助,对患者进行了额叶深部脑瘤全切术。手术全程在国内先进设备监控与辅助下进行,整个手术过程举步维艰,遇到大量外科医生都感到棘手的问题。幸而手术团队有着丰富的临床经验,凭借无懈可击的团队合作,逐一击破难题,完成了这次有如虎口拔牙的手术。
术后,患者感觉良好,无语言及肢体活动障碍,嗅觉、听觉及视力一切正常,本次手术非常成功。

病人术前片

病人术后片
术后,患者感觉良好,无语言及肢体活动障碍,嗅觉、听觉及视力一切正常,本次手术非常成功。

病人术前片

病人术后片
院办宣传 何博鹏
2017年10月18日
2017年10月18日
扫一扫 手机端浏览
